Thema: Beratung
Artikel zum Thema
Patienteninformation Beipackzettel: Apotheker planen Pilotstudie
Beipackzettel sind ein ewiges Ärgernis: Die Schrift ist häufig zu klein, die Texte sind für viele Patienten nur schwer verständlich und für die Falttechnik... Mehr»
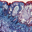
Windpocken/Gürtelrose Varizellen: Ein Virus, zwei Krankheiten
Eine Windpockenimpfung soll auch vor Gürtelrose schützen. Wo aber persistiert das Virus in unserem Körper über viele Jahre, ohne Schaden zu nehmen? Welcher... Mehr»
Kundengespräche Neue Comics aus dem Apothekenalltag
Apothekerin Julia Hansmann hat zu Weihnachten wieder ein ganz besonderes Geschenk von ihrem Ehemann erhalten: eine neue Comic-Serie über den Alltag in... Mehr»
VISION.A Awards 2017 Rowa: Beratung ohne Worte
Wo tut es weh? Nicht jeder Patient kann darauf antworten, denn oft fehlen die Worte. BD Rowa hat das digitale Tool „Nonverbale Pharmazeutische Beratung“... Mehr»
Cannabis spielt auch drei Wochen nach der Freigabe in den Apotheken keine große Rolle. Umso schwerwiegender waren die Vorwürfe eines Arztes, der den... Mehr»
Benzodiazepine Tavor: Patient lässt sich Tabletten vorzählen
Arzneimitteldiebstähle kommen immer wieder vor, teilweise verschwinden ganze Lkw-Ladungen. Besonders anfällig sind Substanzen mit Missbrauchspotenzial – vor... Mehr»
Irgendwie krieg ich die paar Jahre noch rum. Mit dieser Devise versuchen viele Kollegen, sich vor dem digitalen Wandel wegzuducken. Angehende Apotheker können... Mehr»
Repetitorium Schilddrüsenhormone Soja: Schilddrüsenwerte prüfen
Die Schilddrüse befindet sich im vorderen Teil des Halses und ist ein kleines, schmetterlingsförmiges Organ mit großem Einfluss. Etwa die Hälfte der Deutschen... Mehr»
Wundbehandlung Fünf Tipps zur Tattoo-Pflege
Ob ein Tattoo gut aussieht oder nicht, ist nicht nur vom Tätowierer abhängig. Um den Körperschmuck zu vollem Glanz zu verhelfen, sind richtige und sorgsame... Mehr»
Soziale Medien Digitalisierung: Chance für PTA
Smartphone und Facebook: Viele PTA sind im Privatleben längst digital geprägt. Wie sie ihre Erfahrungen mit den sozialen Medien auch beruflich nutzen können,... Mehr»




















