Thema: neue AM
Artikel zum Thema
Infektionskrankheiten Zulassung für Bexsero
Der erste Impfstoff gegen Infektionen mit Meningokokken-B ist nun von der EU-Kommission zugelassen. Die Europäische Arzneimittelagentur EMA hatte bereits im... Mehr»
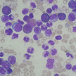
Krebsmedikamente Tyrosinkinase-Hemmer gegen Leukämie
Gleich zwei neue Tyrosinkinase-Inhibitoren könnten in diesem Jahr zur Behandlung der chronisch myeloischen Leukämie (CML) auf den Mark kommen. Pfizer hat von... Mehr»
Arthritis Antikörper gegen Gicht
Seit drei Jahren ist der Ilaris (Canakinumab, Novartis) zur Behandlung des Cryopyrin-assoziierten periodischen Syndroms (CAPS) bei Erwachsenen und Kindern... Mehr»
Influenza Erster rekombinanter Grippeimpfstoff
Die Produktion von Grippeimpfstoffen mithilfe von Hühnereiern ist langwierig und aufwendig, etwas schneller geht es mit Zellkulturen. In den USA ist jetzt der... Mehr»
Medien zum Thema
- 1













