Hilfestellung für Entwicklungsländer

Corona: Studentin entwickelt Röntgensoftware

, Uhr
Berlin -

Damit Covid-19-Infizierte rechtzeitig adäquat behandelt und gegebenenfalls überwacht werden können, muss die Diagnose möglichst schnell erfolgen. Die Testungs- und Diagnosemöglichkeiten sind vor allem in Entwicklungsländern jedoch häufig begrenzt. Studentin Lena Kopp von der Hochschule Heilbronn hat deshalb eine spezielle Röntgensoftware entwickelt, die die Covid-Diagnose erleichtern soll.

Kopp studiert Elektrotechnik am Campus Künzelsau der Hochschule Heilbronn. Ihre Software soll eine Früherkennung für Covid-Infektionen darstellen und die Diagnosestellung vereinfachen. Bei Verdacht auf eine Infektion mit Sars-CoV-2 wird normalerweise ein Nasen- und Rachenabstrich durchgeführt, um Gewissheit zu erlangen. Zusätzlich können bildgebende Verfahren wie eine Computertomographie (CT) durchgeführt werden. In vielen Entwicklungsländern stehen die dafür benötigten Gerätschaften und Materialien jedoch nicht oder in nicht ausreichender Menge zur Verfügung.

Hilfe für Entwicklungsländer

Mit der entwickelten Software will Kopp daher vor allem den Entwicklungsländern helfen. „Mir ist es besonders wichtig mit meiner Arbeit etwas zu tun, was Menschen in ärmeren Ländern in dieser schwierigen Zeit von Nutzen sein kann.“ Die Software soll anhand von Röntgenbildern eine bakterielle von einer viralen Lungenerkrankung unterscheiden können.

„Da oft kein CT-Equipment zur Verfügung steht, konventionelles Röntgen jedoch inzwischen weit verbreitet ist, ist es aus meiner Sicht besonders sinnvoll die vorhandenen Möglichkeiten optimal zu nutzen und zur Unterstützung der Ärzte Röntgenbilder automatisiert auswerten zu können“, erklärt die Studentin. Dadurch soll die Diagnosestellung erleichtert und eine gezielte Therapie eingeleitet werden können.

Funktionsweise der Software

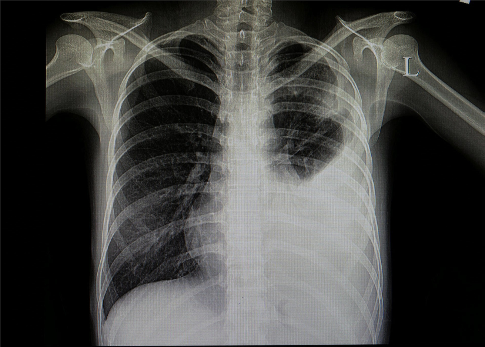
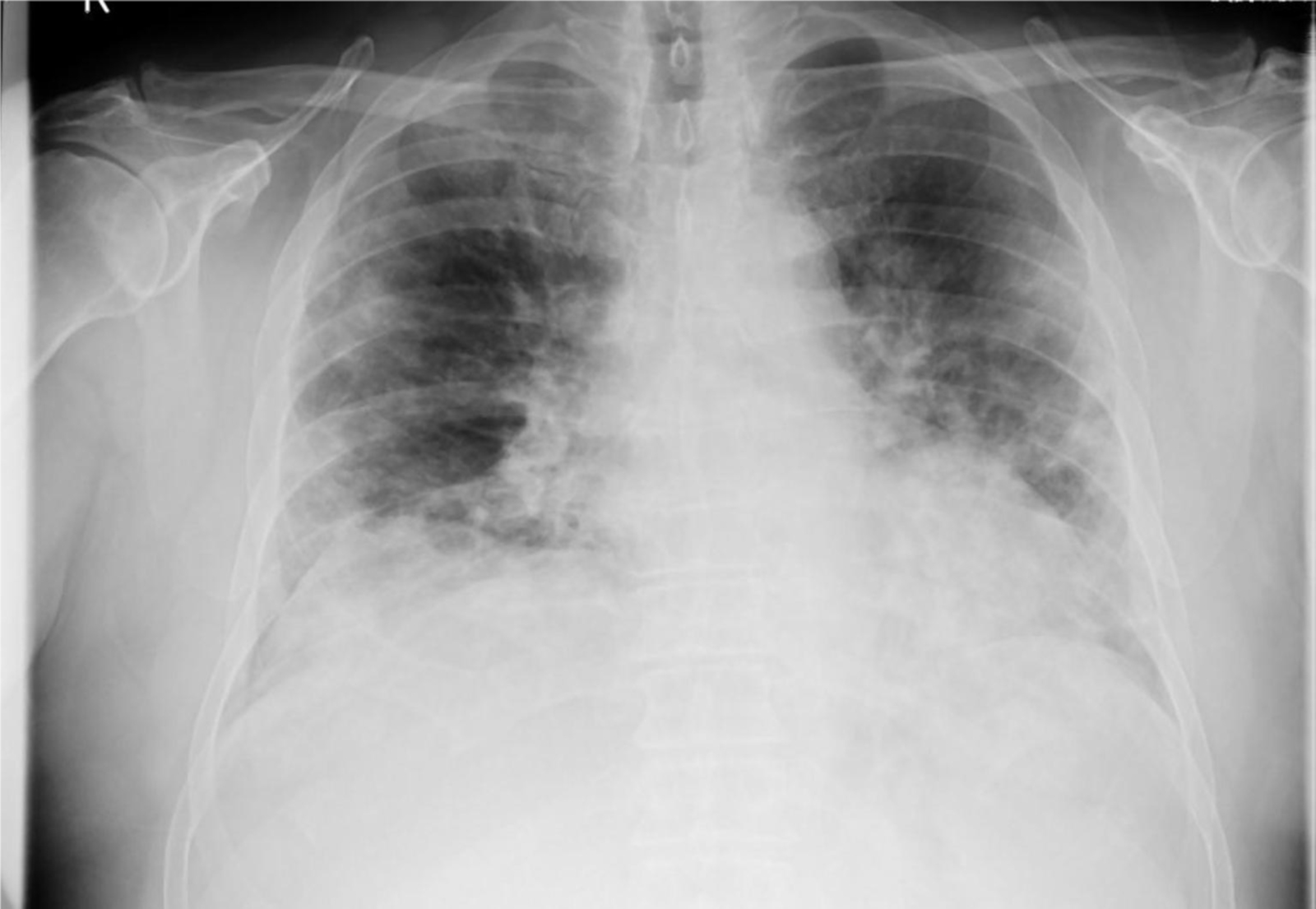
Bei ihrer Arbeit wurde Kopp von ihrem Professor Dr. Alexander Jesser unterstützt. „Bei einer Erkrankung der Lunge ist das betroffene Gewebe meist weniger transparent für die Röntgenstrahlung und kann durch seine Form und Abgrenzung Aufschluss geben, um welche Art der Krankheit es sich handelt. Eine Covid-19-Erkrankung zeigt meist milchglasartige Veränderungen in beiden Lungenflügeln. Ist eine Erkrankung der Lunge durch eine Infektion mit Bakterien erfolgt, ist mehrheitlich nur ein Flügel der Lunge verändert. Eine gleichmäßige Ausbreitung über alle Bereiche der Lunge ist dabei also ein Hinweis auf eine Covid-19 Infektion“, erläutert Jesser.

Damit die Aufnahmen vom Programm ausgewertet werden können, müssen sie in einen Standard-PC eingelesen werden. Danach wird mit einer speziellen mathematischen Operation der Kontrast erhöht. Dadurch können auch qualitativ schlechtere Aufnahmen analysiert werden, die häufig durch ältere Geräte zu Stande kommen. Neben dem Falschfarbenbild erstellt die Software ein sogenanntes „Binärbild“, auf welchem sich bereits die Umrisse der Lunge, sowie Spuren von geschädigtem Gewebe erkennen lassen.

Mithilfe eines weiteren Algorithmus werden die dort vorhandenen Kanten und Grenzen der einzelnen Bereiche ermittelt. Durch weitere Berechnungen werden Flächen- und Symmetriebetrachtungen vollzogen. Dadurch soll letztlich mit großer Wahrscheinlichkeit zwischen bakterieller oder viraler Lungenentzündung unterschieden werden. Dr. Konrad Appelt, Radiologe am Universitätsspital Basel, verweist ebenfalls auf den Nutzen der Software: „Klar ist, dass durch diese Methode ein qualifizierter Arzt nicht ersetzt werden kann und ein einfaches Röntgenbild nicht die diagnostische Qualität eines Computertomographens aufweist, sie kann aber eine sehr sinnvolle, zusätzliche Maßnahme zur Diagnose der Covid-19 Erkrankung sein.“

Newsletter
Das Wichtigste des Tages direkt in Ihr Postfach. Kostenlos!

Hinweis zum Newsletter & Datenschutz

Lesen Sie auch
Mehr zum Thema
Rezeptur-Regal von der Wand gebrochen
Apotheke evakuiert: Chemikalien ausgelaufen
Machtkampf beim Versandkonzern
Wie Oesterle sich bei DocMorris verzockte
Mehr aus Ressort
„Auffällig höhere Fallzahlen“
Corona: Sommerwelle ist da
„Pandemie der Ungeimpften“
RKI-Protokolle bringen Spahn unter Druck

APOTHEKE ADHOC Debatte