Thema: Studien
Artikel zum Thema
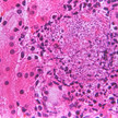
Darmerkrankungen Morbus Crohn: Onkogen Bcl-3 als Auslöser
Krampfartige Bauchschmerzen und wässrige Durchfälle in Schüben können die Symptome von Morbus Crohn sein. Die Ursachen der entzündlichen Darmerkrankung sind... Mehr»
Cannabis-Studie Forscher distanziert sich von FI-CK
Cannabiskonsum erforschen: Dieses Ziel gab eine neu gegründete Forschungsinitiative aus. Sie suchte – noch ohne Genehmigung für die Abgabe – 25.000 Berliner als... Mehr»
Pharmakonzerne Migränemittel: Novartis teilt mit Amgen
Weltweit leiden Betroffene unter episodischer und chronischer Migräne. Bei dem von Novartis und Amgen gemeinsam entwickelten Wirkstoff AMG 334 (Erenumab) wurden... Mehr»
210.000 Eidgenossen haben laut Befragungen in den vergangenen 30 Tagen Cannabis konsumiert. Bis zu 500 Kiffer in der Hauptstadt Bern sollen den Stoff bald ganz... Mehr»
Abwehrpeptide Froschgift gegen Influenzaviren
Die Suche nach antiviralen Arzneistoffen kann an ungeahnten Orten enden. Forscher fanden im Schleim eines südindischen Frosches ein Abwehrgift, das... Mehr»
Autoimmunerkrankungen Glykopolymer: Aasfresser für Antikörper
Ein künstliches Molekül aus Zucker könnte künftig wie ein Schwamm gegen pathogene Antikörper wirken und zur Behandlung von Autoimmunerkrankungen eingesetzt... Mehr»
Leibniz-Wirkstoff 2017 Studie: Pilztoxin durchlöchert Zellmembran
Mykosen können lokal oder systemisch auftreten und werden häufig mit dem Hefepilz Candida albicans in Verbindung gebracht. Der Pathomechanismus ist im Einzelnen... Mehr»
Babys, die heute mit Untergewicht geboren werden, haben in ihrem späteren Leben weit weniger gesundheitliche Nachteile als noch vor wenigen Jahrzehnten. Die... Mehr»
Osteoporose-Therapie Romosozumab erhöht Knochenmineraldichte
Monoklonale Antikörper stellen die jüngste Therapieoption der Osteoporose bei Frauen in der Postmenopause dar. Derzeit ist Prolia (Denosumab) das einzig... Mehr»
Onkologie Muttermilchpeptid gegen Krebs
Krebs zählt zu den weltweit häufigsten tödlichen Erkrankungen. Nicht alle Tumorarten sprechen gut auf eine Chemo- oder Strahlentherapie an. Als schwer... Mehr»
Medien zum Thema
- 1















