Körpermykosen

Caspofungin generisch

, Uhr
Berlin -

Immungeschwächte Patienten haben ein erhöhtes Risiko, an einer Körper-Mykose zu erkranken. Außer mit Itraconazol, Voriconazol oder Amphotericin B kann die Erkrankung mit Cancidas (Caspofungin, MSD Sharp & Dohme) behandelt werden. Nach Patentablauf sind seit Mai Generika auf dem Markt.

Cancidas ist seit 2002 auf dem Markt und hat seit Mai Konkurrenz von Amneal, Ratiopharm, Sun und Zentiva bekommen. Die Generikahersteller bieten ebenfalls Caspofungin in den Stärken 50 mg und 70 mg als Pulver für ein Konzentrat zur Herstellung einer Infusionslösung an. Zur Rekonstitution wird Wasser für Injektionszwecke verwendet.

Indiziert ist der Wirkstoff zur Behandlung der invasiven Candidiasis bei Kindern, Jugendlichen und Erwachsenen. Caspofungin wird ebenfalls zur Behandlung einer invasiven Aspergillose bei Kindern, Jugendlichen und Erwachsenen eingesetzt, die auf eine Therapie mit Amphotericin B, Lipidformulierungen von Amphotericin B und/oder Itraconazol nicht angesprochen oder diese nicht vertragen haben. Eine Zulassung haben die Arzneimittel ebenfalls für die empirische Therapie bei Verdacht auf Infektionen durch Pilze, wie Candida oder Aspergillus, bei Kindern, Jugendlichen und Erwachsenen mit Fieber und Neutropenie.

Begonnen wird die Therapie mit einer Initialdosis von 70 mg. Im Anschluss folgt eine einmalige tägliche Infusion mit 50 mg Wirkstoff. Patienten mit einem Körpergewicht von über 80 Kilogramm wird eine Dosierung von 70 mg empfohlen. Die Betroffenen erhalten die Infusion über eine Dauer von etwa einer Stunde. Die Behandlung erstreckt sich über mindestens 14 Tage und sollte dann sieben Tage über die symptomfreie Zeit hinaus angewendet werden.

Nebenwirkungen können unter anderem Fieber, Schüttelfrost, Kopfschmerzen, Übelkeit oder Hautausschlag sein. Die Halbwertszeit des Arzneistoffes beträgt neun bis elf Stunden. Der Abbau von Caspofungin erfolgt größtenteils über die Leber.

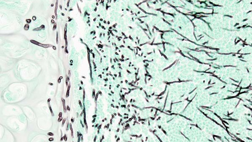
Caspofungin ist ein Glukansynthesehemmer mit breitem Wirkspektrum gegen Aspergillus- und Candida-Arten. Das Echinocandin unterbindet die Synthese von Beta-(1,3)-D-Glukan, dem Hauptbestandteil der Zellwand von Fadenpilzen und Hefen. Die Apikalenden und Verzweigungspunkte der Hyphen sind die Orte der Zellteilung und des Zellwachstums der Pilze. Diese sterben durch die Gabe von Caspofungin ab. Zellwände von Säugetieren enthalten den Bestandteil nicht und werden somit nicht angegriffen.

Candidamykosen und Aspergillosen treten meist bei Patienten mit einem schwachen Immunsystem auf. Risikogruppen sind beispielsweise HIV-Patienten, Organtransplantierte oder auch Tumorpatienten. Die Mykosen stellen eine zusätzliche gesundheitliche Gefahr dar und können im Falle einer Komplikation lebensbedrohlich sein.

Newsletter
Das Wichtigste des Tages direkt in Ihr Postfach. Kostenlos!

Hinweis zum Newsletter & Datenschutz

Lesen Sie auch

APOTHEKE ADHOC Debatte