Thema: Beratung
Artikel zum Thema
Kleinkinder entwickeln eitrige Krusten Borkenflechte: Hochinfektiöse Hautkrankheit
Impetigo contagiosa ist die häufigste, bakteriell verursachte Hautkrankheit im Kleinkindalter. Besonders unter den honiggelben Krusten, die aus Bläschen... Mehr»
Respiratorisches Synzytial-Virus bei Kleinkindern RS-Virus: Gefahr für schweren Verlauf
Laut des aktuellen Wochenberichts des Robert Koch Instituts steigt Deutschland in die Erkältungssaison mit deutlich höheren Zahlen als im Vorjahr ein. Die... Mehr»
Gastrointestinale Störungen und Vitamin-Mangel Vitamin B12: Achtung bei Metformin und PPI
Werden Antidiabetika wie Metformin und Protonenpumpeninhibitoren wie Pantoprazol zusammen eingenommen, kann es zu einem ausgeprägten Vitamin B12-Mangel kommen.... Mehr»
Virusinfektion im Herbst Pseudokrupp: Bellender Husten mit Atemnot
Plötzlich auftretender blecherner Husten in der Nacht deutet meist auf einen Pseudokrupp-Anfall hin. Wenn Kinder mit entzündetem Kehlkopf husten und beim... Mehr»
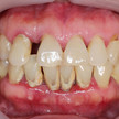
Hohe Blutzucker-Werte schwächen Zahnfleisch Diabetiker: Risiko für Parodontitis dreimal so hoch
Was viele Diabetiker:innen nicht wissen: Parodontitis ist eine der vielen Folgekrankheiten von Diabetes. Umgekehrt können sich Entzündungsherde im Mund negativ... Mehr»
Schmerzender Ausschlag Hand-Mund-Fuß: Hochsaison im Herbst
Aktuell kränkeln viele Menschen durch den Herbst. In den vergangenen Pandemiejahren wurden einige Erkrankungen durch die Hygienemaßnahmen eingedämmt, nun kommen... Mehr»
Erkältungszeit, Corona, Impfzeitpunkt Grippeschutz: Fakten rund um die Impfung
Die Impfquoten der Influenzaimpfung sind seit Jahren zu niedrig. Warum es gerade in der Corona-Pandemie für vulnerable Gruppen wichtig ist, sich zu immunisieren... Mehr»
Schlafapnoe oder „nur Schnarchen“? Snorefox: Schnarch-App gegen Atemaussetzer
Schnarchen kann vor allem für die Mitmenschen quälend sein und die Schlafqualität beeinträchtigen. Für den/die Schnarcher:in wird es jedoch gefährlich, wenn die... Mehr»
Hefepilz Candida Albicans Scheidenpilz: Milchsäure ist ein Muss
Fast 75 Prozent der Frauen leiden einmal in ihrem Leben an einer Vaginalmykose. In der Beratung zu diesem Tabuthema sollte immer auch ein Milchsäureprodukt... Mehr»
APOTHEKE ADHOC WEBINAR Heute um 18 Uhr: Pflanzliche Hilfe bei Regelschmerzen
Von 100 menstruierenden Frauen leiden 81 an einer Dysmenorrhoe. Symptome sind vor allem starke Schmerzen, einhergehend mit Krämpfen, die den Alltag der... Mehr»





















