Kontrastmittel

Gadolinium: Ruhen der Zulassung empfohlen

, Uhr
Berlin -

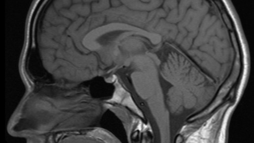
Gadolinium-haltige Kontrastmittel können für eine bessere Bildgebung während einer Kernspintomographie (MRT) eingesetzt werden. Hinweise über Ablagerungen kleiner Wirkstoffmengen im Gehirn könnten nun zu einem Ruhen der Zulassungen führen.

Betroffen sind vier Wirkstoffe: Gadobensäure, Gadodiamid, Gadopentetsäure und Gadoversetamid. Die Substanzen können während einer MRT intravenös verabreicht werden.

Dass es zu Ablagerungen im Gehirn kommen kann, hatten Studien ergeben, bei denen Gadolinium im Hirngewebe direkt gemessen wurde und auf MRT-Bildern sichtbar war. Die Gabe des Kontrastmittels lag bereits viele Monate zurück.

Angesichts der Studienergebnisse empfiehlt der Ausschuss für Risikobewertung im Bereich Pharmakovigilanz (PRAC), ein Ruhen der Zulassungen anzuordnen. Symptome oder Erkrankungen, die mit den Ablagerungen in Verbindung gebracht werden könnten, gebe es bislang nicht. Dennoch wählt der PRAC einen vorsorglichen Ansatz, da Daten zu Langzeiteffekten im Gehirn begrenzt sind.

Gadolinium-Ablagerungen in anderen Organen und Geweben wurden mit seltenen Nebenwirkungen in Verbindung gebracht, dazu gehören Hautplaques oder nephrogene systemische Fibrose bei Patienten mit eingeschränkter Nierenfunktion. Nicht-klinische Laborstudien hatten ebenfalls auf eine Schädigung des Gewebes hingedeutet.

Der PRAC wird seine endgültigen Empfehlungen an den Ausschuss für Humanarzneimittel (CHMP) weiterleiten und zur Stellungnahme vorlegen. Im Anschluss wird die EU-Kommission für alle Mitgliedsstaaten eine rechtlich bindende Entscheidung treffen.

Ein Ruhen der Zulassung wird nur für die vier linearen Gadoliniumwirkstoffe empfohlen. Ihre Struktur tendiert eher zur Freisetzung von Gadolinium und dessen Anreicherung in Körpergeweben. Makrozyklische Wirkstoffe sind laut PRAC stabiler. Auch diese Substanzen sollten in geringstmöglichen Mengen eingesetzt werden und nur dann, wenn eine Bildgebung unerlässlich ist.

Der lineare Wirkstoff Gadoxetsäure könne jedoch in geringer Dosis weiterhin für Leberdarstellungen eingesetzt werden, da nur wenige Alternativen zur Verfügung stehen. Auch eine direkt in die Gelenke injizierbare Gadopentetsäure-Formulierung soll verfügbar bleiben. Ihre Gadoliniumkonzentration sei nur sei gering, so der PRAC.

Nun sind die Firmen gefragt, die für die Substanzen eine Zulassung haben. Liefern sie der Europäischen Arzneimittelagentur (EMA) entsprechende Daten, die aufzeigen, dass der Nutzen die Risiken überwiegt, dass Gadolinium nicht signifikant freigesetzt und in Geweben abgelagert wird, kann ein Ruhen der Zulassung aufgehoben werden.

Das Verfahren wird am 18. März starten und mehr als nur die vier linearen Wirkstoffe in die Bewertung einbeziehen. Gadobutrol, Gadotersäure, Gadoteridol und Gadoxetsäure werden ebenso bewertet.

Newsletter
Das Wichtigste des Tages direkt in Ihr Postfach. Kostenlos!

Hinweis zum Newsletter & Datenschutz

Neuere Artikel zum Thema

APOTHEKE ADHOC Debatte