Hohe Blutzucker-Werte schwächen Zahnfleisch

Diabetiker: Risiko für Parodontitis dreimal so hoch

, Uhr
Berlin -

Was viele Diabetiker:innen nicht wissen: Parodontitis ist eine der vielen Folgekrankheiten von Diabetes. Umgekehrt können sich Entzündungsherde im Mund negativ auf die Stoffwechselkrankheit auswirken: Die Insulinresistenz der Zellen kann sich erhöhen.

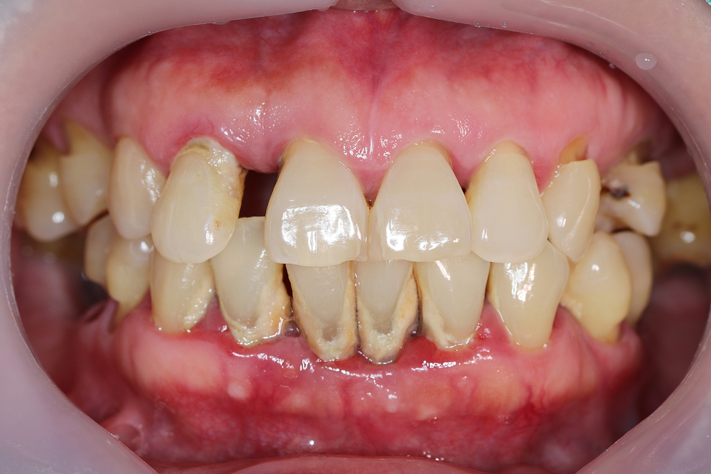
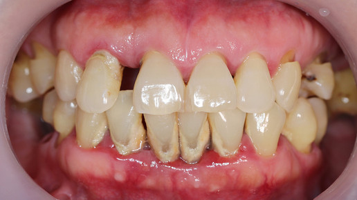
Diabetiker:innen haben ein dreimal höheres Risiko für eine Zahnfleischerkrankung als Gesunde. Betroffene können Zahnfleischentzündungen, Abzesse und Risse in den Mundwinkeln erleiden. Diese Symptome können zudem ein Hinweis auf einen unentdeckten Diabetes sein. Etwa ein Drittel aller Patient:innen wissen nichts von ihrer Erkrankung.

Ist die Insulinsekretion gestört, oder bereits eine Insulinresistenz bei den Zellen eingetreten, ist der Blutzuckerspiegel dauerhaft erhöht. Das führt wiederum zu einer höheren Anfälligkeit für Zahnfleischentzündungen. Das Immunsystem reagiert intensiver auf Zellgifte von Plaque-Bakterien am Zahnfleischrand. Veränderungen in den Gefäßwänden und Durchblutungsstörungen als Folge des Diabetes, erschweren es dem Körper zusätzlich, die Entzündungsprozesse zu kontrollieren. Liegt eine Parodontitis vor, so führt die Entzündung insgesamt dazu, dass Insulin noch schlechter wirken kann und der Diabetes sich verschlimmert. Es entsteht ein Teufelskreis, in dem sich beide Erkrankungen gegenseitig verstärken und das Risiko für weitere Folgeerkrankungen erhöht wird.

Mundhygiene ist unerlässlich

Deshalb ist es wichtig, eine effektive Parodontitis-Therapie durchzuführen und somit auch die Einstellung des Blutzuckerspiegels bei Typ-2-Diabetiker:innen zu verbessern. Eine gute Mundhygiene ist dabei Grundlage der Behandlung und unerlässlich. Da Parodontitis eine chronische Erkrankung ist, kann man sie nur stoppen, aber nicht gänzlich heilen. Mit der richtigen Behandlung kann ein Fortschreiten und der damit verbundene Zahnverlust verhindert werden – allerdings bedeutet das „lebenslänglich“. Betroffene sollten möglichst auf sehr kalte oder heiße und süße Speisen verzichten, da diese die offen liegenden Zahnhälse reizen. Durch die gelockerten Zähne können viele Patient:innen auch keine harten, zähen oder klebrigen Lebensmittel mehr genießen. Nach dem gründlichen Zähneputzen empfiehlt es sich, eine alkoholfreie Mundspülung zu benutzen. Die tägliche Reinigung der Zahnzwischenräume mit Zahnseide und Zahnzwischenraumbürstchen sollte in die Reinigungsroutine eingegliedert werden, um das Fortschreiten der Parodontitis zu vermeiden.

Newsletter
Das Wichtigste des Tages direkt in Ihr Postfach. Kostenlos!

Hinweis zum Newsletter & Datenschutz

Lesen Sie auch
Neuere Artikel zum Thema

APOTHEKE ADHOC Debatte