AMK-Meldungen

Aus für Gadopentetsäure

, Uhr
Berlin -

Keine Bildgebung mit Gadopentetsäure: Die Zulassungen der Kontrastmittel ruhen ab März, jetzt erfolgt der Rückruf der Präparate. Die AMK-Meldungen des Tages.

Magnevist 0,5 mmol/ml, Injektionslösung, alle Packungsgrößen, alle Chargen, Bayer
Magnograf 0,5 mmol/ml, Injektionslösung, alle Packungsgrößen, alle Chargen, Jenapharm

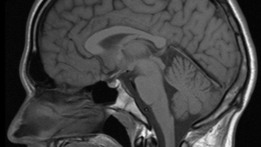
Ablagerungen im Gehirn möglich: Das Bundesinstitut für Arzneimittel und Medizinprodukte (BfArM) hat im Stufenplanbescheid vom 13. Dezember das Ruhen der Zulassungen von Gadopentetsäure-haltigen Kontrastmitteln empfohlen. Dazu zählen Magnevist und Magnograf. Grund ist die Bewertung Gadolinium-haltiger Kontrastmittel der Europäischen Arzneimittelagentur (EMA). Die Experten bestätigten, dass die Präparate, die zur MRT-Bildgebung eingesetzt werden, sich nach Injektion in geringen Mengen im Gehirn ablagern können. Die Zulassungen der intravenösen linearen Kontrastmittel mit Gadoxetsäure und Gadobensäure bleiben bestehen und sind nicht betroffen.

Die Zulassungen von Magnevist und Magnograf ruhen ab dem 28. Februar, dann werden die Kontrastmittel nicht mehr verkehrsfähig sein.

Apotheker werden gebeten, das Warenlager auf die betroffene Ware zu überprüfen und die Lagerbestände an folgende Adresse zu schicken: PharmLog GmbH, Siemensstraße 1, 59199 Bönen.

Newsletter
Das Wichtigste des Tages direkt in Ihr Postfach. Kostenlos!

Hinweis zum Newsletter & Datenschutz

Mehr zum Thema
BfArM-Bescheid Abhängigkeit/Sucht
Codein-Tropfen: Zulassung erloschen
Abweichung bei Bruchfestigkeit
Rückruf bei Ramipril
Mehr aus Ressort
Diabetes, Orphan Drug, Infektionen
2026: Neue Medikamente gegen Krebs
Prophylaxe gegen Attacken
Migräne an den Feiertagen verhindern

APOTHEKE ADHOC Debatte