Panorama
Ludwigshafen Mit 1,63 Promille gegen die Apothekenmauer
Glück im Unglück: Völlig betrunken steuerte ein junger Mann seinen Wagen gegen die Hauswand der Pfalzgrafen-Apotheke im Ludwigshafener Ortsteil Oppau. Der... Mehr»
TK-Studie Leiharbeiter häufiger krankgeschrieben
Leiharbeiter fehlen nach Einschätzung einer Krankenkasse häufiger am Arbeitsplatz als andere Arbeitnehmer. 20,3 Tage seien sie im vergangenen Jahr im Schnitt... Mehr»
Fipronil Eier-Skandal zieht durch Europa
In Deutschland sollen die Verbraucher wieder mit ruhigem Gewissen Eier kaufen können: Auch Aldi füllt wieder seine Regale. Einige Länder erfahren aber erst... Mehr»
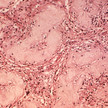
Augenerkrankungen Weiche Kontaktlinsen: Hohes Risiko für Pilzkrankheiten
Träger von weichen Kontaktlinsen sollten immer sehr auf Sauberkeit und Hygiene achten. Experten für Pilzerkrankungen haben festgestellt, dass mangelnde... Mehr»
Gehaltscheck Managergehälter: Pharma top, Gesundheitswesen Flop
Topmanager in der Pharmaindustrie zu sein, zahlt sich auf dem Lohnzettel aus. Chefs von Medikamentenherstellern kommen im aktuellen Branchenvergleich schon auf... Mehr»
Tennismeisterschaften der Apotheker Tennisplatz statt HV-Tisch
Knapp 80 Apotheker aus ganz Deutschland trafen sich auf der Anlage des Tennisclubs Ismaning, um ihre Meister zu ermitteln. Fast wären die... Mehr»
Hallux valgus Bild: „Tut das Zeh?“
Victoria Beckham soll ihn haben, ebenso Model-Mama Heidi Klum, Schauspielerin Gwyneth Paltrow und Supermodel Naomi Campbell – den Hallux valgus. „Tut das Zeh?“,... Mehr»
Die Sonne tut gut und macht gute Laune. Aber wie gut schützen wir uns vor der Sonne und den möglichen Schäden wie Pigment- und Leberflecken, Verbrennungen oder... Mehr»
Report Mainz Sterbehilfe: Kritik an BfArm und Gröhe
Wie ist ein Sterben in Würde möglich? Muss der Staat Menschen in extremen Leidenssituationen helfen, ihr Leben selbstbestimmt und in Würde zu beenden? Dazu... Mehr»
Dauerbaustelle Waldbröl: Blockierte Straßen, durchtrennte Stromkabel und neu eingerichtete Einbahnstraßen bescheren Apotheken empfindliche Umsatzeinbußen. Zwei... Mehr»









































