Kupferspeicherkrankheit

Bakterium räumt die Leber auf

Uhr
Berlin -

Wenn überflüssiges Kupfer vom Körper nicht ausgeschieden werden kann und sich in der Leber ablagert, kann das schwere gesundheitlich Folgen nach sich ziehen. Wissenschaftler am Helmholtz Zentrum München haben nun ein Bakterium untersucht, das einen hohen Bedarf an Kupfer hat und somit das Element bindet. Im Versuchsmodell war es den herkömmlichen Medikamenten bereits überlegen.

Das Team um Dr. Hans Zischka, Leiter der Arbeitsgruppe Oxidativer Zelltod am Institut für Molekulare Toxikologie und Pharmakologie, untersuchte das Bakterium Methylosinus trichosporium, das durch seinen speziellen Methan-Stoffwechsel einen hohen Bedarf an Kupfer hat. Um das benötigte Metall zu gewinnen, scheidet es das Molekül Methanobactin aus, das Kupfer sehr effizient bindet.

Dieser Wirkstoff könnte die Behandlung der Kupferspeicherkrankheit verbessern. Um zu überprüfen, ob sich Methanobactin auch dazu eignet, Kupfer aus dem Körper zu binden, setzten die Forscher ein In-vivo-Modell für die Krankheit ein, bei dem derselbe Gendefekt vorliegt wie im Menschen.

„Wir konnten beobachten, dass auch akute Stadien der Kupferspeicherkrankheit durch Methanobactin zurückgingen“, berichtet Josef Lichtmannegger, Erstautor der Studie, die im „Journal of Clinical Investigation“ veröffentlicht wurde.

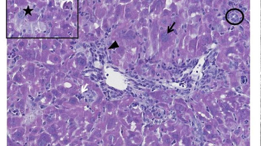
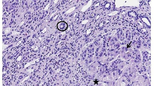
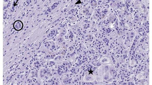
Weitere Analysen ergaben, dass die Verbesserung auf einen starken Rückgang der Kupfermengen zurück zu führen war. Speziell die als Mitochondrien bekannten „Kraftwerke der Zellen“ profitierten stark von der sinkenden Kupferlast und konnten ihre Funktion wieder voll aufnehmen. Methanobactin verhinderte ein Absterben von Leberzellen und beugte einem Leberversagen vor.

Bei der Kupferspeicherkrankheit ist der Körper nicht mehr in der Lage, überschüssiges Kupfer aus der Nahrung über die Galle in den Darm auszuscheiden. Stattdessen lagert Kupfer sich in der Leber und anderen Organen ab und kann dort schwerste Schäden verursachen.

Entsprechend setzen Ärzte Medikamente ein, die das Kupfer an sich binden, sogenannte Chelat-Bildner. Diese lebenslangen Behandlungen sind wirksam, wenn sie in frühen Krankheitsstadien zum Einsatz kommen. Patienten müssen die Medikamente mehrmals täglich einnehmen. Bei späterer Diagnose der Erkrankung sind die Chelat-Bildner oft wirkungslos, sodass eine Lebertransplantation nötig sein kann.

Um einen lebenslange Medikation oder gar eine Lebertransplantation zu vermeiden, testeten die Forscher auch den Wirkungsunterschied von Methanobactin gegenüber Chelat-Bildnern. Mit einem positiven Ergebnis für das Bakterium.

Im Gegensatz zu der herkömmlichen Therapie konnte Methanobactin auch in Stadien schwerer Schädigung innerhalb weniger Tage die Kupferüberlastung der Leberzellen beseitigen und ein Organversagen verhindern. Zudem war der Wirkstoff im Modell sehr gut verträglich.

„Wir hoffen durch unsere Arbeit die Behandlung der Kupferspeicherkrankheit zu verbessern und die Zahl der Lebertransplantationen verringern zu können“, so Zischka. So sei es denkbar, auf lange Sicht die bisherige täglich mehrfache Einnahme von weniger wirksamen Chelat-Bildnern durch kurze Behandlungszyklen mit Methanobactin zu ersetzen. Hierfür seien nun klinische Studien notwendig.

Newsletter
Das Wichtigste des Tages direkt in Ihr Postfach. Kostenlos!

Hinweis zum Newsletter & Datenschutz

Mehr zum Thema
Starker Rückgang bei bei Magenkrebs und Darmkrebs
RKI: Krebssterblichkeit weiter rückläufig
Mehr aus Ressort
Kontraindikation und Nebenwirkung
Trimethoprim: Spontanabort und Halluzinationen
Krankheit muss im Blick gehalten werden
Berlin: Mpox-Fälle haben sich verdoppelt

APOTHEKE ADHOC Debatte