vCJK

Creutzfeldt-Jakob: Neue Variante entdeckt

, Uhr
London -

Die Panik war groß, als vor gut zwei Jahrzehnten klar wurde, dass die Rinderseuche BSE auf den Menschen übertragbar ist. Würden Dutzende Menschen erkranken oder Zehntausende? Es waren letztlich nur etwa 230 weltweit – nun aber könnte eine weitere Erkrankungswelle folgen.

Mehr als 20 Jahre nach dem Auftreten erster Fälle der Creutzfeldt-Jakob-Variante vCJK haben Mediziner eine neue Form der Erkrankung nachgewiesen. Der Fall könne möglicherweise den Beginn einer neuen Erkrankungswelle bedeuten, berichten Mediziner des University College London im „New England Journal of Medicine“ (NEJM). „Es ist davon auszugehen, dass weitere Fälle zu erwarten sind“, sagte Professor Dr. Inga Zerr, Leiterin der Forschungsgruppe Prionen an der Universität Göttingen. „Die Fallzahlen können jedoch nicht zuverlässig abgeschätzt werden, da zu viele unbekannte Faktoren in die Berechnung einfließen.“

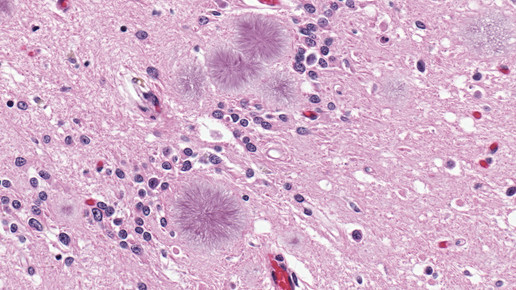
Creutzfeldt-Jakob wird von einem falsch gefalteten Eiweißmolekül verursacht, einem sogenannten Prion. Gelangen fehlgeformte Prionen bis ins Gehirn eines Menschen, können sich die körpereigenen Prionen in einer Art Dominoeffekt falsch falten, was wiederum das Hirngewebe degenerieren lässt. Die Krankheit endet immer tödlich, eine Schutzimpfung oder Therapie gibt es nicht.

Mitte der 90er Jahre tauchten die ersten Fälle von vCJK zunächst in Großbritannien auf. Die Erkrankungen gingen hauptsächlich auf den Verzehr von infektiösem Rindfleisch zurück: Vor drei Jahrzehnten waren vor allem in Großbritannien etliche Rinder an der Krankheit Bovine spongiforme Enzephalopathie (BSE) erkrankt. BSE-verseuchtes Fleisch kann beim Menschen die Krankheit vCJK auslösen.

Die Panik nach dieser Erkenntnis war zunächst groß. Würde es Zehntausende Tote geben? Letztlich wurden beim Überwachungszentrum für CJK in Edinburgh weltweit nur rund 230 vCJK-Fälle erfasst. Nach einem Höhepunkt im Jahr 2000 waren die vCJK-Fallzahlen stetig gesunken, in Deutschland wurde bisher keine einzige Erkrankung gemeldet.

Bislang traten vCJK-Fälle zudem ausschließlich bei Menschen mit einer bestimmten Erbanlagen-Kombination auf. Dabei geht es um etwa 40 Prozent der Bevölkerung. Bei dem nun beschriebenen Fall handelt es sich um einen Mann mit einer anderen Erbanlagen-Kombination. Diese Kombination ist weiter verbreitet: Etwa jeder zweite Mensch trägt sie in sich.

Der damals 36 Jahre alte Mann sei im August 2015 aufgrund markanter Persönlichkeitsveränderungen in die National Prion Clinic in London gekommen, berichten die Forscher um Tzehow Mok im Fachjournal. Untersuchungen bestätigten den Verdacht auf Creutzfeldt-Jakob, im Februar 2016 starb der Patient. Feinuntersuchungen des Gehirns zeigten, dass der Mann an der Variante vCJK litt. Sie kann auf den Verzehr infektiösen Fleisches zurückgehen, aber auch über Blutspenden, transplantierte Organe oder nicht ausreichend gereinigtes OP-Besteck übertragen werden.

Ob der Fall den Beginn einer neuen Erkrankungswelle markiere, sei noch nicht abzuschätzen, betonen die Forscher. Fachleute hatten eine solche Entwicklung schon lange befürchtet. Erfahrungen aus anderen Bereichen hatten gezeigt, dass die Inkubationszeit – also die Zeit zwischen der Infektion bis zum Ausbruch – je nach Erbanlagen-Kombination erheblich variieren kann.

Für die bisher betroffene Bevölkerungsgruppe wird von einer mittleren Inkubationszeit von 10 bis 15 Jahren ausgegangen, bei der nun erstmals betroffenen Gruppe könnten es etwa 20 bis 30 Jahre sein. Auf den ersten jetzt in Großbritannien erfassten Fall könnten in den kommenden Jahren also weit mehr folgen – sicher ist das aber nicht, möglicherweise ist das Erkrankungsrisiko dieser Menschen sehr gering.

Von Bedeutung ist der Fall vor allem auch wegen des möglichen Ansteckungsrisikos. „Das Risiko einer Erkrankungsübertragung von nicht diagnostizierten vCJK-Fällen über Blut, Organspende, chirurgische Instrumente kann nicht gänzlich ausgeschlossen werden“, erklärt Zerr. Bisher gebe es keine praktikablen Testverfahren zur allgemeinen Untersuchung von Blutspendern oder Blutspenden auf vCJK-Erreger, ergänzt Michael Beekes, Leiter der Forschungsgruppe Prionen und Prionoide am Robert Koch-Institut (RKI) in Berlin.

Menschen, die sich im Zeitraum zwischen 1980 und 1996 länger als sechs Monate in Großbritannien aufhielten, sind darum in Deutschland von der Blutspende ausgeschlossen. Spezielle Regelungen gibt es auch für die Säuberung von OP-Besteck und die Aufbereitung von Medizinprodukten. Mit einer vCJK-Verbreitung sei daher hierzulande auch im Zuge der neuen Ergebnisse nicht zu rechnen, sagt Walter Schulz-Schaeffer vom Universitätsklinikum des Saarlandes in Homburg. „Dies sieht für andere europäische Länder deutlich kritischer aus.“

Symptome einer Creutzfeldt-Jakob-Erkrankung sind zunächst Kopfschmerzen und Gedächtnisstörungen, gefolgt von Halluzinationen, Persönlichkeitsveränderungen, Lähmungen und Demenz. Die Krankheit führt zu immer mehr Fehlern und schließlich dem völligen Versagen aller Hirnfunktionen. Im Endstadium, das lange anhalten kann, verharren Betroffene in einer Art Starre ohne Möglichkeit, noch Kontakt mit dem Umfeld aufzunehmen. Kranke im Endstadium werden darum auch „The Living Dead“ (Die lebenden Toten) genannt.

An der klassischen, schon lange bekannten Form CJK, die in der Regel bei Patienten über 60 Jahren beobachtet wird, erkrankten nach Meldedaten des RKI seit 2001 1560 Menschen in Deutschland. Die jährlichen Fallzahlen schwanken, in den vergangenen drei Jahren waren es jeweils zwischen rund 80 und 90 Fälle. Für CJK und vCJK besteht eine gesetzliche Meldepflicht.

Newsletter
Das Wichtigste des Tages direkt in Ihr Postfach. Kostenlos!

Hinweis zum Newsletter & Datenschutz

Mehr zum Thema
Langzeitstudie mit 130.000 Probanden
Demenz: Koffein bremst kognitiven Verfall
Kontrolle durchs BfArM nicht zielführend
Warken: „Anforderungen an Versand bereits festgelegt“
Mehr aus Ressort
Bei erhöhtem Erkrankungsrisiko
Gürtelrose-Impfung schon ab 18

APOTHEKE ADHOC Debatte